Sonosite ST

Sonosite ST

Açıklama

Tıbbi görüntülemede aradığınız güvence burada. 21 inçlik tamamen dokunmatik ekranıyla Sonosite ST, bakım noktasındaki ultrason prosedürlerine yaklaşımınızı geliştirmek için tasarlanmıştır. Optimum iş akışları için sezgisel bir kullanıcı arayüzüne sahip olan Sonosite ST, klinisyenleri çevik performans ve hassasiyetle hastaların ihtiyaçlarına bağlayarak güvenle ilerlemenize yardımcı olur.

Transdüserler

Örnek Dönüştürücü tipi Sıklık Tarama Derinliği Sınav Türleri
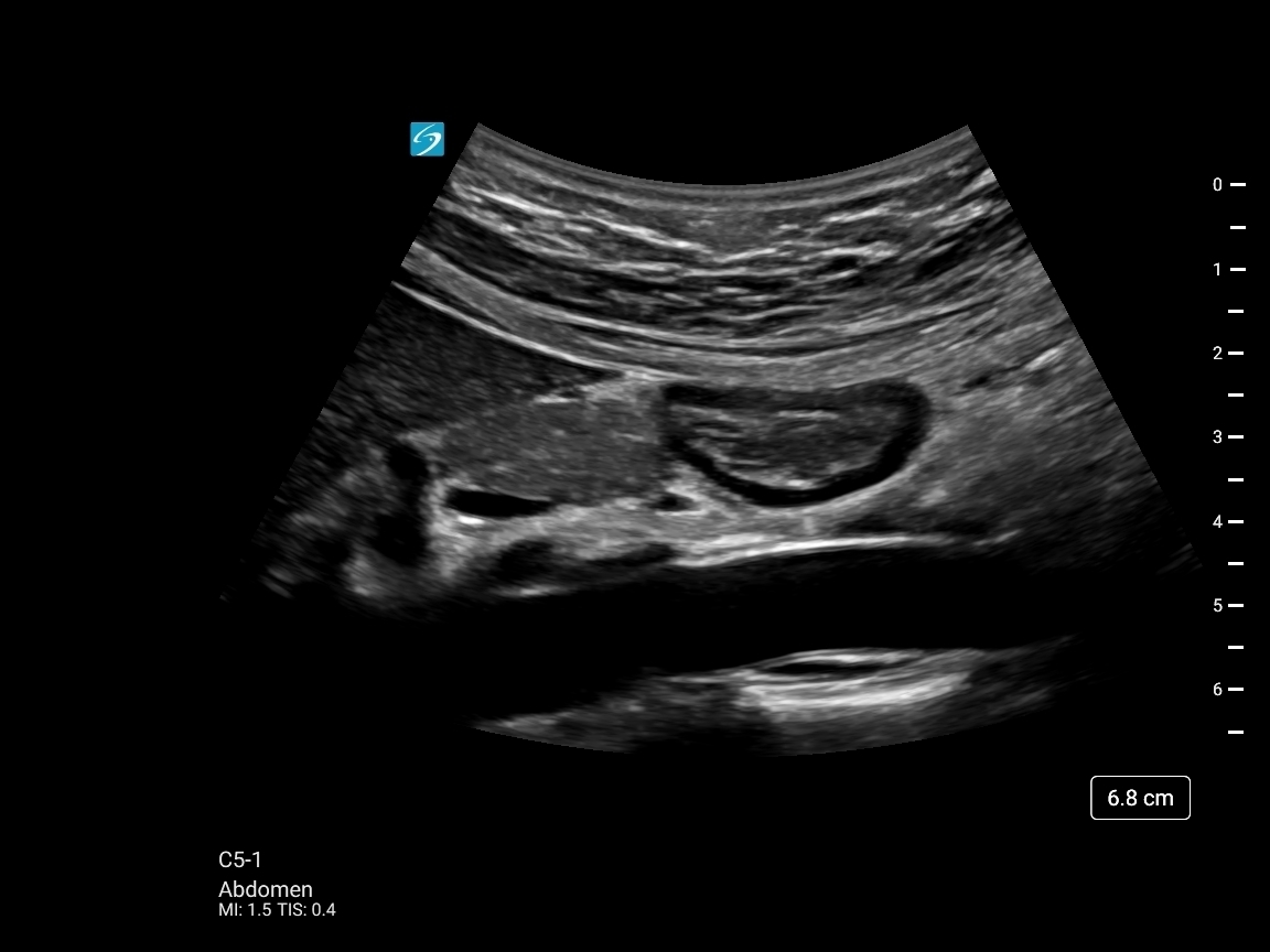
C5-1 Ultrason Dönüştürücü Eğrisel 5-1 MHz 4,7 – 30 cm Karın, Jinekoloji, Akciğer, MSK, Sinir, Kadın Hastalıkları ve Doğum, Omurga, VExUS
C10-3 DönüştürücüC10-3 Eğrisel 10-3 MHz 3-18 cm Karın, Jinekoloji, Akciğer, MSK, Sinir, Omurga, VExUS
IC10-3 Ultrason Dönüştürücü Eğrisel, Özel Kullanım 10-3 MHz 3 – 15 cm Jinekoloji, Kadın Hastalıkları ve Doğum, Prostat
L12-3 Ultrason Transdüseri Doğrusal 12-3 MHz 1,5 – 9 cm Arteriyel, Meme, Karotis, Akciğer, MSK, Oftalmik, PIV, Yüzeysel, Venöz
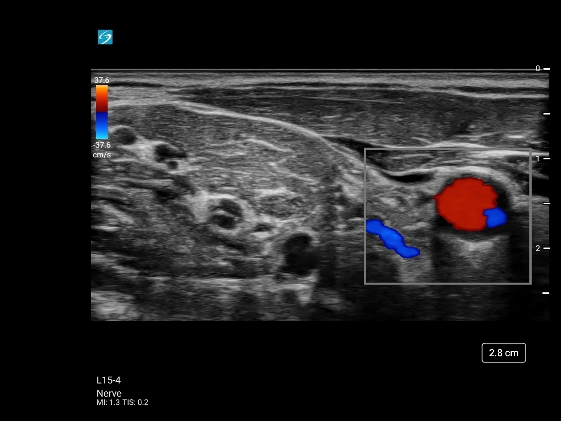
L15-4 Ultrason Transdüseri Doğrusal 15-4 MHz 1,5 – 6 cm Arteriyel, Meme, Karotis, MSK, Sinir, Yüzeysel, Venöz
L19-5 Ultrason Dönüştürücü Doğrusal 19-5 MHz 1 – 6 cm Arteriyel, Akciğer, MSK, Sinir, Oftalmik, PIV, Yüzeysel, Venöz
P5-1 Fazlı Dizi 5-1 MHz 5 – 35 cm Karın, Kardiyoloji, Akciğer, Kadın Hastalıkları ve Doğum, Orbital, TCD, VExUS

Katalog İçin Tıkla