Açıklama
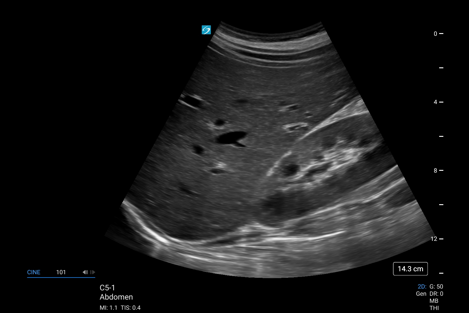
Sonosite LX, bakım noktası ultrasonunu çeşitli ortamlarda daha kapsayıcı ve erişilebilir hale getirerek klinisyenlerin deneyimini yükseltiyor. Sonosite LX, optimum hasta bakımı için en gelişmiş görüntü netliğimizi ve ses kontrolümüzü bünyesinde barındırıyor. Eğitim potansiyeliyle dolu olan bu ürün, her seviyedeki kullanıcıya her zamankinden daha fazlasını keşfetme gücü veriyor.
Faydalar
- Sonosite Sesli Yardım, temel komutları eller serbest olarak kontrol etmenizi sağlar ve temiz veya steril bir ortam sağlarken sistemi yatağın diğer ucundan kontrol etmenize olanak tanır
- Klinik ekip üyeleriyle kolay görüntüleme ve hastalarla konsültasyon için büyük, uyarlanabilir klinik ekranda gelişmiş görüntü netliği
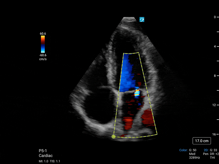
- Sektörde bir ilk olan kardiyak resüsitasyon ve akciğer muayene türleri de dahil olmak üzere T8-3 transözofageal dönüştürücü ile kardiyak ve akciğer değerlendirmelerini sorunsuz bir şekilde entegre edin
- Küçük bir ayak izi, dönen ve genişleyen ekran ve optimum yatak başı erişimi elde etmek için dikey olarak ayarlanabilir kontrol paneli
- Prosedürler arasında enfeksiyon kontrolünün kolaylaştırılması için Temizleme Modu










