Açıklama
ECHELON Smart, 1,5 T süper iletken MRG için yeni bir standardın başlangıcını temsil etmektedir.
ECHELON Smart, tanılama kalitesi ve hızından ödün vermeden, küçük bir kullanım alanına sahiptir ve sınırlı maliyet sağlar.
Tescilli teknolojimize dayanan bu sistem, 1,5 T sistemleri için potansiyel oluşturarak kalıcı mıknatıslı MRG sistemlerinden miras kalan üstün görüntü kalitesi ve üstün kurulum esnekliği sağlamıştır.
ECHELON Smart, süper iletkenli MRG için yeni seçenekler sunar.
Smart COMFORT
Hasta Dostu Sessiz İnceleme
MRG görüntüleme gürültüsünü azaltmak için çeşitli teknolojiler mevcuttur.
Ancak, akustik gürültünün azaltılması genellikle görüntü kalitesini olumsuz etkiler ve tarama süresini uzatması nedeniyle rutin inceleme için uygun değildir.
Diğer yaklaşımlar özel donanım gerektirir.
SmartCOMFORT gürültü azaltma teknolojimiz akustik gürültüyü %96’ya kadar azaltır*1.
- *1 Görüntüleme koşullarına göre değişir.
Gürültü azaltma teknolojimiz, görüntü kontrastı ve görüntüleme süresi üzerinde yalnızca minimum etkiye sahitir.
SmartCOMFORT ile gradyan manyetik alan pulsu formu değiştirilerek ve görüntüleme parametreleri ayarlanarak, gürültü azaltma teknolojisinin yol açabileceği herhangi bir etkiyi azaltmak için görüntüleme süresi, kontrast, görüntü SN oranı ve uzamsal çözünürlük arasındaki denge korunmuştur.
Gradyan manyetik alanının dalga biçiminin değiştirilmesi frekans özelliklerini değiştirir
Görüntüleme gürültüsünü azaltma prensibi
Gradyan manyetik alan dalga biçimi, uygulanan akım ve uygulama süresinin ürünü tarafından verilir. Bu dalga formu ses kalitesini de değiştirir.
SmartCOMFORT, hareket artefaktı azaltma teknolojisi RADAR*2 ile birlikte kullanılabilir.
SmartQUALITY
Karmaşık Teknolojilerle Gerçekleştirilen Üstün Görüntü Kalitesi
MRG alt sistemlerinin gelişmiş teknik özellikleri, görüntü kalitesinin ödün vermeden sağlanması üzerinde önemli bir etkiye sahiptir. ECHELON Smart, güçlü görüntüleme teknolojilerini güçlendirmek için yüksek kaliteli görüntülemeyi ve yüksek performanslı RF sistemini destekleyen SmartENGINE’i içeren güçlü alt sistemlerle donatılmıştır.
SmartSPEED
Toplam İnceleme Süresinde Azalma
Üretkenliğinizi artırmak için ECHELON Smart, kolay ve hızlı işleyiş için AutoPose ve Parametre Kılavuzu işlevi gibi iş akışını kolaylaştıran ve verimi artıran özellikler sunar. Yeniden taramayı azaltmak için hızlı tarama özellikleri ve sağlam tarama teknikleri daha kısa tarama sürelerine katkıda bulunur ve konsoldaki analiz işlevleri verilerin iş istasyonuna aktarma süresini azaltır. SmartSPEED özelliği ile operasyonel verimliliğiniz artar.
Smart ECO
%17 DAHA AZ Ekonomik İşletme Maliyeti ile Ekolojik
Süper iletken MRG sistemleri genellikle yüksek işletme maliyetleri gerektirir.
Bu maliyet esas olarak süper iletkenliği korumak için gerekli olan soğutma sisteminin yüksek güç tüketimi ile ilgilidir.
ECHELON Smart, kullanılmadığı dönemlerde veya konsültasyon olmayan günlerde soğutma sistemini belirli bir süre durdurabilen bir enerji tasarrufu işlevi ile donatılmıştır.
Bu işlev, helyum nedeniyle sıfır kaynamayı sürdürürken güç tüketimini etkili bir şekilde azaltır.
Ayrıca, soğutma sisteminden gelen ısı emisyonu da bu dönemlerde azaldığından, ısı dağıtıcı ünitenin güç tüketimi de kesilir.
Smart SPACE
Küçük Kullanım Alanı ve Esnek Düzen
Ekipman odasında süper iletken bir MRG sistemi kurulumu için yeterli alan olup olmadığı genellikle bir endişe konusudur.
ECHELON Smart, ana MRG giriş kısmı ile ekipman odasındaki güç ünitesi arasında uzatılmış bir kablo uzunluğuna sahiptir.
Bu, MRG sistemi kurulumu yapılırken karşılaşılan engelleri ortadan kaldırabilecek esnek düzenler sağlar.
Uygulamalarımızın, operasyonlarımızın ve donanımımızın kombinasyonuyla klinik uygulamada “yüksek görüntü kalitesi” ve “yüksek hız” elde edin.
Akıllı UYGULAMA
- All Around RADAR
- Plak Görüntüleme
- isoFSE
- BeamSat TOF
- VASC-ASL
- BSI
- FatSep
- H-Sinc
- TIGRE
- T2* RelaxMap/R2* RelaxMap
Akıllı GÖRÜNTÜ GALERİSİ
Akıllı ÇALIŞMA
- Bobin Sistemi
- AutoPose
- Kullanıcı Arayüzü
- Öneri Kullanıcı Arayüzü
Akıllı DONANIM
- SmartENGINE
- 16 Kanallı Alıcı Sistemi
- Yüksek Performanslı Gradyan Sistemi
- Yüksek Performanslı RF Sistemi
-
SmartENGINE
Çok kanallı alıcı bobinlerinde görüntü SN oranını optimize etme
ECHELON Smart, yüksek frekans sinyalini doğrudan dijitalleştiren ve görüntü kalitesini artırmak üzere gürültüyü bastıran yüksek hızlı bir A/D dönüştürücüden (Analogdan Dijitale Dönüştürücü) güç alır. Ayrıca, toplam görüntü SN oranını %8*3 artırmak ve böylece mükemmel klinik görüntüler sağlamak için sinyal bileşimi sırasında sinyallerden gelen gürültü korelasyonunu dikkate alarak, görüntü sentez oranının hassas bir şekilde ayarlanmasını sağlayan optimum bir görüntü sentezleme tekniği içerir. Bu teknoloji özellikle bobin elemanlarının segmentlere ayrıldığı çok kanallı alıcı bobinleri için etkilidir.
16 kanallı Alıcı Sistemi
Yüksek hızlı görüntüleme sırasında alıcı hassasiyetini ve stabilitesini artırmak için alıcı bobinlerinin sayısını ikiye katlama
Alıcı bobinlerinin elemanları, alıcı kanal sayısını 8’den 16’ya ikiye katlayacak şekilde küçültülmüştür. Bu, alıcı hassasiyetini artırmış, yüksek görüntü SN oranı elde etmiş ve bağımsız alıcının 8 kanallı bir sistem kullanılarak mümkün olmadığı, karın ve diğer bölgelerdeki çok kanallı alıcı bobinlerinden düşük gürültülü alıcı elde etmiştir. RAPID yüksek hızlı görüntüleme işlevi kullanıldığında, alıcı bobin elemanlarının sayısı ne kadar fazla olursa, genleşme bilgileri o kadar fazla elde edilebilir. Bu, stabil bir görüntüleme sağlar.
Yüksek Performanslı Gradyan Sistemi
Yüksek hızlı ve yüksek performanslı görüntüleme ile uyumlu yüksek ivmelenme oranı
Sinyal alıcı için TE’nin (eko süresi) kısaltılması, yüksek hızlı görüntüleme, mükemmel MRA görüntüleri ve üstün performanslı görüntüleme elde etmek için esastır. ECHELON Smart’ın 130 mT/m/sn.’lik yüksek ivmelenme oranlı güç kaynağına sahip güçlü gradyan manyetik alan sistemi, gradyan manyetik alan stabilizasyon süresini kısaltabilir ve sonuç olarak minimum TE’yi daha da kısaltabilir. Ayrıca, bu ivmelenme oranı, kesintisiz olarak eko sinyalleri üreten EPI gibi süper yüksek hızlı sekansları desteklemek için yeterlidir. Gradyan manyetik alanının tersine çevrilmesi sayesinde, görüntü kalitesini etkilemeden yüksek hızlı manevra gerektiren görüntülemeler için etkilidir.
Yüksek Performanslı RF Sistemi
Radyasyon dalga formlarının istikrarlı bir şekilde sürdürülmesini sağlayan RF güç çıkışı
ECHELON Smart, 18 kW RF güç çıkışına sahiptir. Bu, kesintisiz olarak yeniden netleme pulsları uygulayan FSE sekansında bile görüntü kalitesinde bozulma olmadan net görüntüler sağlamak için yeterlidir.
Akıllı UYGULAMA
Baş ve torako-abdominal görüntülerin kullanışlılığını artıran uygulamalar.
All Around RADAR
Rutin kafa incelemeleri için gerekli sekanslarda RADAR’ın kombine kullanımı
RADAR, birçok sekans, tüm alıcı bobinleri ve rastgele kesitlerle görüntüleme sırasında hareket artefaktlarını azaltarak kullanım kolaylığını artırır. RADAR, yüksek hızlı görüntüleme ile birlikte kullanılabilir. ECHELON Smart, TOF ve GrE sekanslarını destekler ve rutin baş incelemeleri için gerekli dizilerin çoğunda RADAR’ın kombine kullanımı ile uyumludur, böylece “All Around RADAR” özelliği gerçekleşir.
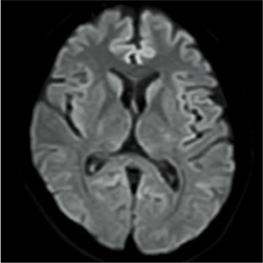
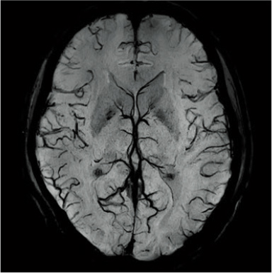
RADAR’ın TOF MRA ve GrE T2*WI’deki etkileri
RADAR, yüksek hassasiyetli sinyal düzeltme teknolojisi kullanılarak GrE sekanslarına uygulanmıştır. Bu, rutin baş incelemelerinde gerekli tüm sekanslar için RADAR’ın kombine kullanımını mümkün kılmıştır.
Plak Görüntüleme*1
Plak özelliklerinin tanısı için
Karotid arter plak özelliklerinin tanısı için yüksek T1 kontrastlı bir MR görüntüsü gerekir.
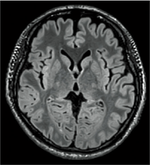
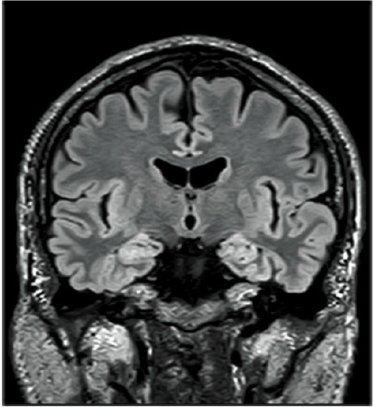
isoFSE
RF uygulama modellerinin optimizasyonuyla hayata geçen yüksek çözünürlüklü 3D görüntüleme
isoFSE, isovokseller için yüksek hızlı bir 3D görüntüleme işlevidir. FSE’nin yeniden netleme pulslarının çevirme açıları, MultiEchoes’un sinyal gücü dalgalanmalarından kaynaklanan etkiyi bastırmak ve yüksek çözünürlüklü 3D görüntüleme sağlamak için kullanılmaktadır. Bu uygulama modellerinin optimizasyonu, T1WI, T2WI ve FLAIR görüntüleri ile elde edilen yüksek kontrastlarla sonuçlanır.
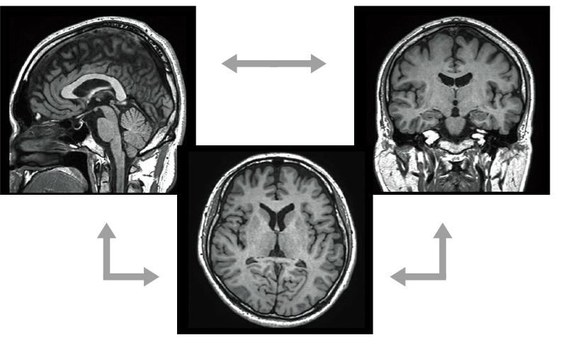
Görüntülemede elde edilen yüksek uzamsal çözünürlüklü hacim verileri, MPR işlemede herhangi bir çapraz görüntülerini yeniden oluşturmak için kullanılabilir.Akıllı ÇALIŞMA
Daha iyi tanılama performansı için işletimi kolaylaştıran kapsamlı bir özellik yelpazesi
İş Akışı Bobin Sistemi
Alıcı bobinleri hasta ayarı kolaylığını destekler ve üstün görüntü kalitesi sunar
Değiştirme süresini ve eforu azaltmak için incelemeden önce ayarlanması gereken alıcı bobinlerin sayısı en aza indirilir. Kullanım kolaylığı için tasarlanmış sistem ve özel alıcı bobinlerle, yüksek görüntü kalitesi korunurken inceleme süresinde önemli bir azalma elde edilir.
İş Akışı Bobin Sistemi

baş &ve boyun için

omurga için

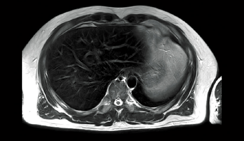
abdomen için

eklemler için

























