Açıklama
“SynergyDrive” ürünümüz verimli iş akışı sunar
“SynergyDrive,” inceleme odasına giriş ve çıkış ihtiyacını sınırlandırmaktan inceleme süresini kısaltmaya kadar, operasyon prosedürlerini basitleştiren çeşitli işlevler ve uygulamalar sunar. Bunun aynı zamanda yönetim verimliliğini artırması da beklenir.
Auto Exam*1
Konumlandırma, görüntüleme ve çekim sonrası işleme işlemlerinin tamamı tek bir adımda tamamlanır. İnceleme süresi, işlemlerin basitleştirilmesi sayesinde kısalır.
AutoPose*1
Skanogram işlevi, bilgilerin operatörler için bölgelerin kesit alanlarında hızlı bir şekilde görüntülenmesini sağlar.
IP-RAPID
Modern Yüksek Hızlı Görüntüleme Teknolojisi
IP-RAPID, iteratif işleme kullanılan yüksek hızlı görüntülemedir ve IP-RAPID uygulanmayan geleneksel görüntüleme yöntemleriyle benzer görüntü kalitesini korurken tarama sürelerini %60’a kadar azaltır.
Yüksek Hızlı Ön Tarama
Bir hazırlık prosedürü olarak gerçekleştirilen ön tarama da ana taramadan önceki sürenin azaltılmasıyla geliştirilmiştir.
AutoClip*1
Baş MRA görüntülerinin otomatik olarak kırpılan görüntülerini oluşturan dijital görüntü işleme işlevi.
DICOM Aktarımı
DICOM ile otomatik görüntü aktarımı
- *1 Bu sistem otomasyon sağlar, tanılama sağlamaz. Görüntülerin operatör tarafından kontrol edilmesi gerekir.
IP-RAPID ürünümüz ile geliştirilmiş HIZI deneyimleyin.
IP-RAPID hem yüksek görüntü kalitesi hem de daha kısa tarama süresi sağlar
IP-RAPID, görüntü kalitesini korurken tarama süresini azaltabilen bir teknolojidir.
Yetersiz örnekleme ve yinelemeli rekonstrüksiyonu birleştirerek, çeşitli bölge ve işlevlerle bir araya getirilebilir.
SNR ve uzamsal çözünürlük de tarama süresi korunarak iyileştirilebilir.
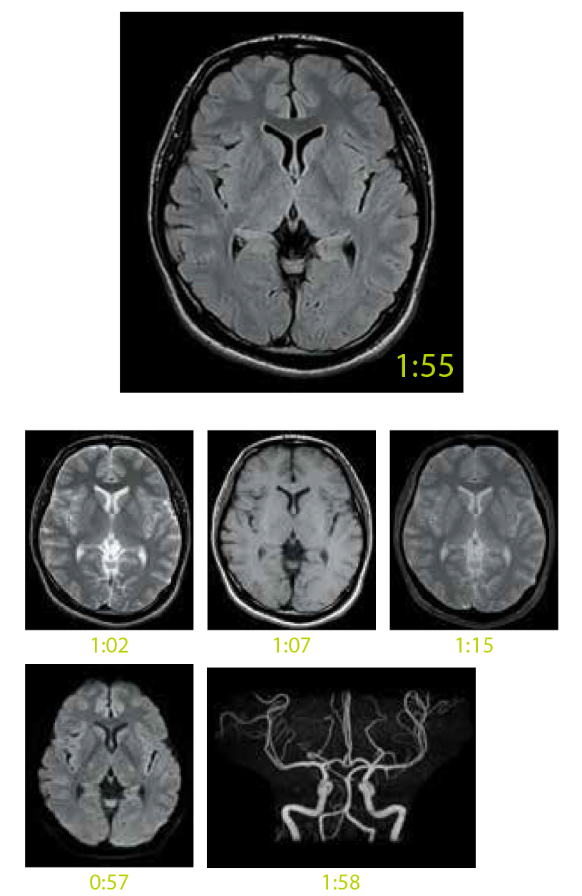
All Around RADAR
RADAR, rutin baş incelemeleri için uygulanabilir
RADAR, hareket artefaktlarını azaltır ve çoklu sekanslar, tüm alıcı bobinleri ve rastgele kesitlerle uyumlu hale getirerek kullanım kolaylığını artırır. RADAR, yüksek hızlı görüntüleme ile birlikte de kullanılabilir. ECHELON Smart Plus’ın “All Around RADAR” özelliği TOF sekansları, GrE sekansları ve rutin beyin incelemeleri için gerekli sekansların çoğu ile uyumludur.
RADAR’ın TOF MRA ve GrE T2*WI üzerindeki etkileri
RADAR, yüksek hassasiyetli sinyal düzeltme teknolojisi kullanılarak GrE sekanslarına uygulanmıştır.
Bu, rutin beyin incelemelerinde gerekli tüm sekanslar için RADAR ile birlikte kullanımı mümkün kılmıştır.
Plak Görüntüleme
Plak sınıflandırması tanısı
Karotit arter plak karakterizasyonu tanısı için yüksek bir T1 kontrastlı MR görüntüsü gerekir.
FatSep bir tür baskılama yöntemidir ve manyetik duyarlılıktaki değişikliklerden daha az etkilenir.
Rezonans frekansındaki fark (su protonları ve yağ protonlarının kimyasal kaymaları) kullanılarak tek bir taramayla birden fazla görüntü elde edilebilir.




















