ARIETTA 750SE

ARIETTA 750SE

Açıklama

Kusursuz Senfonik Mimari

Birinci sınıf modellerden elde edilen kesin görüntüleme teknolojileri, tüm kullanıcılara ince değişikliklerin bile tespit edilmesini sağlayan yüksek görüntü kalitesi sunar.

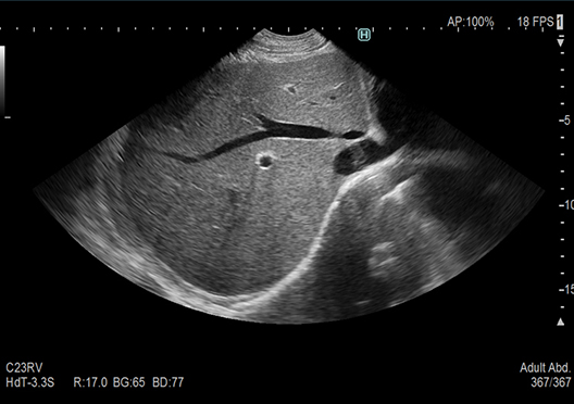
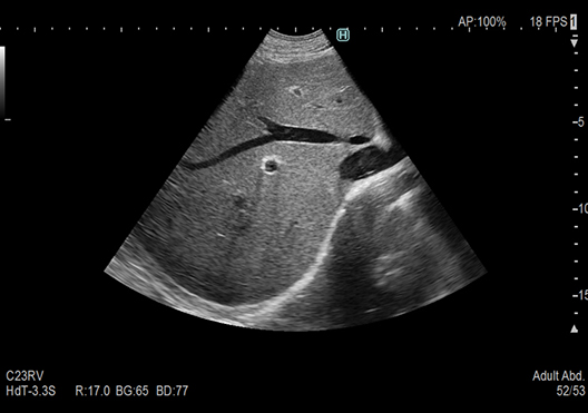
Mikro Konveks Prob C23RV/C23

Rutin muayenelerde yüksek görüntü kalitesi ve kolay uygulama sağlayan mikro konveks prob (Tek kristal). Prob şeklinin yanı sıra piezoelektrik elemanın performansı ve ısı yayılım yapısı, hem geleneksel bir konveks transdüsere eşdeğer görüntü kalitesi hem de düşük stresli kullanım kolaylığı sağlamak için optimize edilmiştir. Ek olarak, tanılardan tedavilere kadar çeşitli aşamalardaki muayeneleri kesintisiz bir şekilde destekler.

eFocusing

Yakın alandan uzak alana kadar görüntüleme netliği sağlamak için iletim ve alım teknolojisi. Daha az odak ve hasta bağımlılığı.

Carving Imaging

“Daha Net Görünürlüğe” sahip görüntüler, doku yapısının görünürlüğünü geliştiren yeni görüntü işleme teknolojimiz tarafından üretilir. Daha az hasta bağımlılığı ile istikrarlı görüntüleme gerçekleştirir.

Geniş Tarama

Daha az görüntü kalitesi bozulması ile standart bir konveks proba kıyasla daha geniş bir tarama açısı elde edebilir. Sahip olduğu daha geniş görüş alanı ile muayene aralığını genişletmesi beklenmektedir.

Monitör

LCD monitör, yüksek kontrast oranı ve geniş bakış açısı ile görüntülenen görüntünün zengin bir temsilini sunar.

 

KESİNTİSİZ İŞ AKIŞI

Protokol Asistanı

Önceki sabit muayene protokolleri ve görüntüleme koşulları kaydedilebilir. Düğme işlemleri, muayenelerin etkinliğini desteklemek için önemli ölçüde azaltılabilir. Ek olarak, “Kılavuz Görünümü” işlevi aracılığıyla bir referans görüntü görüntülenebilir.

Gerçek Zamanlı Doku Elastografisi (RTE) için Gelişmiş İş Akışı

HI Gerinim

HI Gerinim, Elastografi görüntüsünü öncekinden daha tutarlı bir şekilde görüntülemek için kullanılan bir algoritmadır. Zamansal ve uzamsal çözünürlüğü korurken Elastografi görüntülerini yüksek süreklilik ile görüntülemek mümkündür.

Kilitli FLR Ölçümü

Kare seçiminden FLR ölçümlerinin başlatılmasına kadar bir dizi işlem otomatik olarak gerçekleştirilir. Otomasyon yoluyla yüksek tekrarlanabilirliğe sahip elastografi değerlendirmesi mümkündür.

 

SİZE ÖZEL UYGULAMA

[Muayene] Elastografi

Gerçek Zamanlı Doku Elastografisi (RTE)

RTE, doku gerinimini gerçek zamanlı olarak değerlendirir ve doku sertliğini renk haritası olarak görüntüler. Uygulama, çok çeşitli klinik alanlarda doğrulanmıştır ve karaciğer fibroz evrelemesinin tahmini değerini hesaplamak mümkündür.

Kesme Dalgası Ölçümü (SWM)

Doku sertliğini, kesme dalgaları üreterek ve  dokudaki yayılma hızı olan Vs’yi ölçerek değerlendirmek mümkündür. RTE ve SWM’nin entegre edildiği Combi-Elasto’nun sadece SWM kullanılarak tanı konması zor vakalarda kullanılması beklenmektedir.

ATT ölçümü

Dokunun ultrason yayılımı sürecinde üretilen zayıflatma katsayısını ölçen bir işlev. Steatoz derecesi, katsayının boyutundan tahmin edilebilir. Ölçümü SWM ile eş zamanlı olarak yapılır ve B modu muayenesinin bir uzantısı olarak yapılabilir.

 

Kontrast Harmonik Görüntüleme (CHI)

Tümör tespiti, ayırıcı tanı ve tedavi desteği gibi klinik uygulamalar için kontrastlı ultrason yaygın olarak kullanılır. Değişken Işın Oluşturucu ve yüksek duyarlılıklı problar tarafından yüksek çözünürlüklü ve yüksek duyarlılıklı kontrast görüntüleme gerçekleştirilir.

Hassas Akış Görüntüleme (DFI)

Önceki algılama eşiğinin altındaki düşük hızda kan akışının görselleştirilmesi için görüntüleme teknolojisi. Benzersiz algoritma, ince kan akışını daha yüksek çözünürlük ve duyarlılıkla görüntüler.

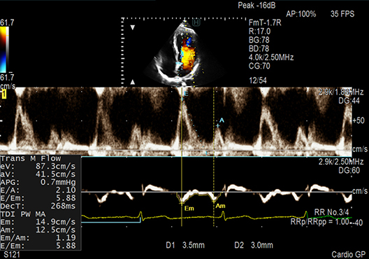
Kardiyak İşlevleri

Yapay zeka içeren benzersiz bir analiz teknolojisi olan Hemo Dinamik Yapısal Zeka (HDSI) tabanlı otomatik ölçüm paketini destekler. EyeballEF, ejeksiyon fraksiyonunu (EF) M.Simpson yöntemiyle otomatik olarak ölçer.

  • Atım Modu: ED/ES otomatik algılama
  • Doppler İmleç Asistanı: Örnek geçidi konumunun otomatik ayarı
  • LV, LA, RA Hacim otomatik ölçümü

Akıllı Seri

iDGD (Dual Gate Doppler +R-R Navigasyonu)

Temel sol ventrikül (LV) diyastolik performans endekslerinden biri olan E/e’, Dual Gate Doppler kullanımında otomatik olarak ölçülür. Bu mod R-R Navigasyonu ile birlikte kullanıldığında, iDGD, otomatik olarak optimum kalp atışını algılayarak aritmi vakalar için etkili hale getirir.

  • Dual Gate Doppler: Aynı kalp döngüsünde iki farklı konumdan Doppler dalga formlarının gözlemlenmesini sağlar.
  • R-R Navigasyonu: İstikrarlı bir R-R aralığının otomatik olarak algılanmasını sağlar.

Ölçüm süresi: Yaklaşık 5 saniye, harcanan sürede %83 azalma
(geleneksel sistemlere kıyasla yaklaşık olarak)

i2DTT

2B izleme yöntemiyle çeşitli ölçümleri tam otomatik olarak gerçekleştirir. Bunlardan biri olan Global Boylamsal Gerinim (GLS), kalp yetmezliği muayenelerinde dikkat çekmektedir.

iVascular

Renk ROI’sinin ve imlecin konumu gibi ayarlar, bir damarın Doppler muayenesinde tek bir tıklamayla ayarlanabilir. Konveks problar da desteklenmektedir. Ek olarak, İntima-Medya Kalınlığını (IMT) Auto IMT ile otomatik olarak ölçmek mümkündür.

Harcanan sürede %40 azalma
(geleneksel sistemlerimize kıyasla yaklaşık olarak)

Alt uzuv damar muayeneleri için iVascular

iVascular, bir damarın Doppler muayenesinde tek bir düğmeyle Renk ROI konumu ve numune geçidi konumu/boyutu/açısı gibi ayarları yapabilir.
Bu işlev Trapezoid ekranda da mevcut olduğundan, sadece karotid arter için değil, aynı zamanda alt uzuv damarı için de muayene süresini kısaltması beklenebilir.

Dalga formunu görüntülemek için geçen süre (saniye)

Alt uzuv damar muayeneleri için harcanan sürede %35 azalma (geleneksel sistemlere kıyasla yaklaşık olarak).

4Dshading/4Dtranslucence/Kavisli MPR

4Dshading (4B gölgeleme), bir ışık veriliyormuş gibi gerçekçi bir doğal gölgelemeyi yansıtmak için kullanılan bir moddur. 4Dtranslucence, doku sınırlarını ayıklar ve beyin, sindirim kanalı ve benzerlerinin kavite içi yapılarının görüntülenmesini sağlamak için bunları üst üste bindirir. Ayrıca, Kavisli MPR rastgele kavisli çizgi üzerinde bir düzlem görüntüler. Omurga, uterus vb. organların kavisli bir düzlemini görüntüleyebilir.

Uzamsal-Zamansal Görüntü Korelasyonu (STIC)

Tarama sırasında toplanan verilerden 1 kalp atışının hacim verilerini oluşturur. Kalp hareketini gözlemlemek mümkündür ve fetal kalbin yapısını stereoskopik olarak anlamak için faydalıdır.

Dual Gate Doppler

Aynı düzlem sırasında iki farklı konumdan Doppler dalga formlarının gözlemlenmesini sağlar. Atriyal ve ventrikül kasılmasının ritmi, fetal aritmi vakalarında geleneksel yöntemlere göre daha kolay değerlendirilebilir.

Katalog İçin Tıkla