Açıklama
DeepInsight Teknolojisi
Görüntü geliştirme için yapay zeka teknolojisini**1 kullanan DeepInsight teknolojisi, büyük miktarda veriden yalnızca gerekli bilgileri alarak, günümüze kadar kumlanmayla maskelenebilen ince ve karmaşık doku yapılarının daha net görüntülerini sağlar. Doku yapısı daha doğal bir görüntüyle elde edilir.
eFocusing PLUS
eFocusing teknolojisi, tek bir iletimden gelen birden fazla ışını alır ve bunları gerçek zamanlı olarak tek bir görüntüyü görüntülemek için birleştirir. ARIETTA 750 DeepInsight, yüksek duyarlılık, yüksek kontrast ve yüksek uzamsal çözünürlük sunmak için eFocusing teknolojisini, birden fazla frekansı birleştirerek daha da geliştirmiştir.
Carving Imaging
“Daha Net Demarkasyon”a sahip görüntüler, doku yapısını geliştiren gelişmiş görüntü işleme teknolojimiz tarafından üretilir. Daha az hasta bağımlılığı ile istikrarlı görüntüleme sağlar.
Protokol Asistanı
Önceki sabit muayene protokolleri ve görüntüleme koşulları kaydedilebilir. Düğme işlemleri, muayenelerin etkinliğini desteklemek için önemli ölçüde azaltılabilir. Ek olarak, “Kılavuz Görünümü” işlevi aracılığıyla bir referans görüntü görüntülenebilir.
Kardiyak İşlevi
Yapay zeka teknolojisini kullanarak kardiyovasküler muayeneler için etkili olan otomatik ölçümleri destekler*1. Kullanıcılar muayeneleri sorunsuz ve etkili bir şekilde gerçekleştirebilir.
- Doppler İmleç Asistanı: Örnek geçidi konumunun otomatik ayarı
- LV, LA, RA Hacim otomatik ölçümü
Akıllı Seri
iDGD
Temel sol ventrikül (LV) diyastolik performans endekslerinden biri olan E/e’, Dual Gate Doppler kullanımında otomatik olarak ölçülür. Bu mod R-R Navigasyonu ile birlikte kullanıldığında, iDGD, otomatik olarak optimum kalp atışını algılayarak aritmi vakalar için etkili hale getirir.
- Dual Gate Doppler: Aynı kalp döngüsünde iki farklı konumdan Doppler dalga formunun gözlemlenmesini sağlar.
- R-R Navigasyonu: Stabil bir R-R aralığının otomatik olarak algılanmasını sağlar
i2DTT
Yapay zeka teknolojisini kullanarak, 2 Boyutlu izleme yöntemiyle çeşitli ölçümleri tam otomatik olarak gerçekleştirir. Bunlardan biri olan Global Boylamsal Gerinim (GLS), kalp yetmezliği muayenelerinde dikkat çekmektedir.
Auto EFW
Hedefin özelliklerini analiz ederek ve ölçüm noktasının otomatik olarak ayarlanmasını sağlayarak Tahmini Fetal Ağırlığın (EFW) sorunsuz bir şekilde ölçülmesine yardımcı olur.
- *1 Her ikisi de yapay zeka teknolojilerinin alt kümesi olan makine öğrenimi ve/veya derin öğrenme kullanılarak geliştirilmiş ve tasarlanmıştır.
Sistemin performansı ve doğruluğu, aktivasyondan sonra otomatik olarak değişmez.
Gerçek Zamanlı Doku Elastografisi (RTE)
RTE, doku gerinimini gerçek zamanlı olarak değerlendirir ve doku sertliğini renk haritası olarak görüntüler. Uygulama, meme de dahil olmak üzere çok çeşitli klinik alanlarda doğrulanmıştır ve karaciğer fibroz evrelemesinin tahmini elastisite değerini hesaplamak mümkündür.
Shear Wave Ölçümü (SWM) / iATT
Doku sertliği, kesme dalgaları oluşturarak ve doku içindeki yayılma hızı (Vs) ölçülerek değerlendirilebilir. iATT, yağlı karaciğer miktarını tahmin etmek için bir indeks (ATT) ölçer. Analiz alanının daraltılması ve ekran kılavuzu sayesinde İB’nin (İlgi Bölgesi) belirlenmesini kolaylaştırır, bu nedenle ATT ölçümüne müdahale edecek çoklu yansımalar ve kan damarları gibi yapılar önlenir.
Tedavi Desteği
Real-time Virtual Sonography (RVS)
BT/MRG/PET-BT/Ultrason hacim verilerinden oluşturulan MPR görüntüleri, gerçek zamanlı ultrason görüntüleme ile senkronize edilebilir. Karın, Göğüs, prostat ponksiyonunda navigasyon vb. gibi çok çeşitli klinik alanlarda uygulanır.
3 Boyutlu Sim-Navigatör / E-alan Simülatörü
Real-time Virtual Sonography (RVS) ile hedefe yönelim sırasında tek veya birden fazla iğne yolunun simülasyonunu sağlar. İşaretlenen hedef ve iğne yolları arasındaki konumsal ilişki, 3 boyutlu vücut işareti ve C düzlem ekranı kullanılarak gerçek zamanlı olarak değerlendirilebilir. Elektrikli Alan Simülatörü, elektrotların belirtilen konumundan gelen elektrikli alanı (E-alan), RFA tedavisi sırasında BT görüntüsünün üzerine bindirir. E-alanının simülasyonu, etkili bir iğne yolunun göz önünde bulundurulmasını sağlar.
Kadın Sağlığı
4Dshading (4D gölgeleme) / 4Dtranslucence (4D yarısaydamlık)
4Dshading (4B gölgeleme), bir ışık veriliyormuş gibi gerçekçi bir doğal gölgelemeyi yansıtmak için kullanılan bir moddur. 4Dtranslucence, doku sınırlarını ayıklar ve beyin, sindirim kanalı ve benzerlerinin kavite içi yapılarının görüntülenmesini sağlamak için bunları üst üste bindirir.
Çift Geçitli Doppler
Aynı kalp atışı sırasında iki farklı konumdan Doppler dalga formlarının gözlemlenmesini sağlar. Fetal aritmi vakalarında atriyal ve ventriküler sistolik ritmi, tek Doppler yöntemlerine göre daha verimli değerlendirilebilir.
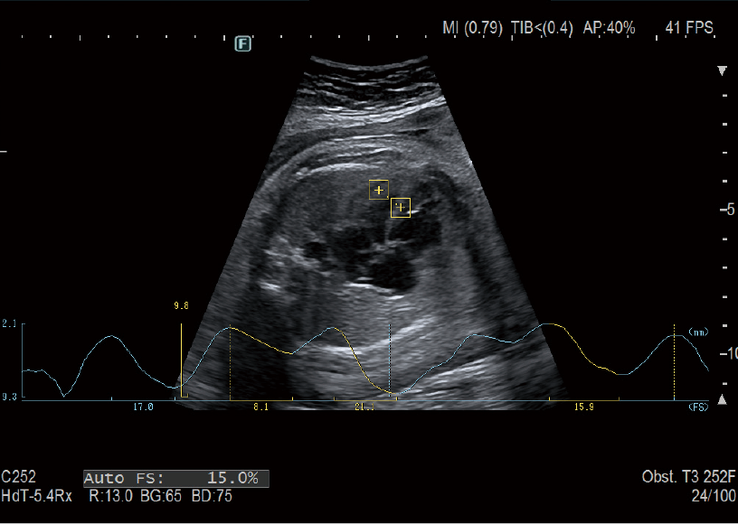
AutoFHR+ / AutoFS
AutoFHR+, bir B modu görüntüsünden fetal kalbin hareketini gerçek zamanlı olarak izleyerek fetal kalp atış hızını otomatik olarak hesaplar. Bu işlev, hem transabdominal hem de transvajinal problarda mevcuttur, böylece fetal büyüme erken gebelikten itibaren değerlendirilebilir. AutoFS, fetal kalp hareketini B modu görüntüsünden izler ve %Fraksiyonel Kısalma (%FS) değerini otomatik olarak hesaplar. M modu yönteminin aksine AutoFS, fetal pozisyondaki değişiklikten etkilenmez, bu nedenle kalp hareketi doğru şekilde ölçülebilir.













