Açıklama
Veri Seti Modülü
- Hasta bilgilerinin ve muayene kimliklerinin kaydı
- MRI ve BT hacim verilerinin içe aktarılması
- DICOM formatında veri kümelerinin ve raporların dışa ve içe aktarılması
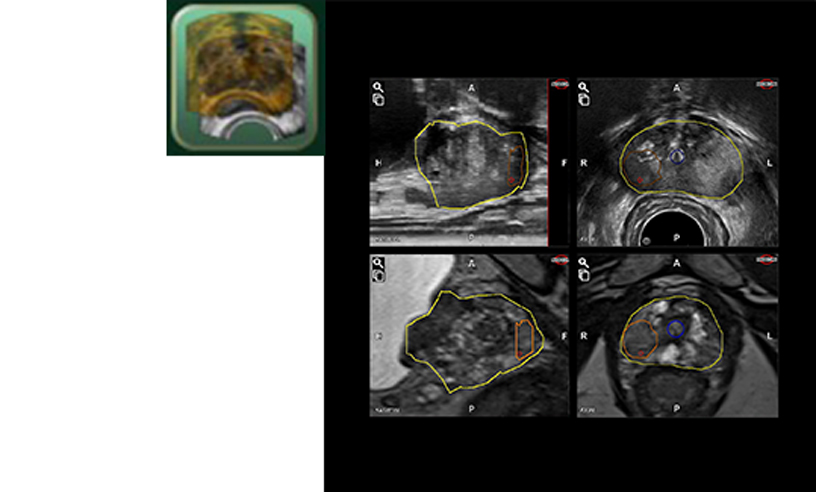
Konturlama Modülü
Çeşitli izleme yöntemleriyle basit konturlama
3D ABD Satın Alma Modülü
Gerçek zamanlı Hız göstergesi, uygun 3D Ultrason Hacmi verisinin alınmasına yardımcı olur.
Tedavi ve Takip
ARIETTA 65 IntuitiveFusion, kriyoterapi, yüksek yoğunluklu odaklanmış ultrason (HIFU) ve brakiterapi gibi Odak Terapi planlama yazılımlarına veri kümelerini depolayabilir ve aktarabilir. Kriyoterapi için hedef alanın sıcaklık dağılımının bir simülasyonunu görüntülemek mümkündür *1 . Ayrıca tedavi izleme ve aktif gözetim için de faydalıdır.
Harici Konturlama Yazılımı
Radyoloji bölümündeki mevcut İş İstasyonuna kurulabilen harici yazılım
- Ultrason sisteminin bulunmadığı durumlarda bile, Workstation’ınıza yazılım yükleyerek MRI ve BT verilerinin kontur çıkarımı yapılabilir. Bu, biyopsi inceleme süresini azaltmaya yardımcı olacaktır.
- Biyopsi sonrası patolojik tanı sonuçlarını (Gleason Skoru) girmek ve aynı kullanıcı arayüzü ile raporlar oluşturmak mümkündür.
- Hem harici konturlama yazılımları hem de ARIETTA 65 IntuitiveFusion ile oluşturulan veriler, DICOM ve çeşitli medyalar aracılığıyla çift yönlü olarak aktarılabilir ve böylece Füzyon görüntüleme için optimum sonuçlar elde edilebilir.
rostat füzyon biyopsileri için aşağıdaki transrektal Konveks-Doğrusal dönüştürücüler mevcuttur.

- Frekans: 8 – 4 MHz (T) / 10 – 5 MHz (L)
- Yarıçap (C): 10R
- Görüş alanı (C): 200°
- Görüş alanı (D): 64 mm
C41L47RP
Biplan Konveks-Doğrusal dönüştürücü

- Frekans: 10 – 2 MHz (T) / 14 – 2 MHz (L)
- Yarıçap (C): 9R
- FOV (C): 180° (Geniş Tarama ile 200°)
- Görüş alanı (D): 63 mm
CL4416R1
Gerçek zamanlı Biplan Konveks-Doğrusal dönüştürücü










