Açıklama
Kusursuz Senfonik Mimari
Tanısal görüntülemeyi destekleyen teknoloji
Üstün kalitede “ses” yaratmak için ARIETTA markası tarafından geliştirilen teknolojiler, modelden modele aktarılan teknolojilerdir.
Silky Image Processing (SIP)
Bu uyarlanabilir görüntü filtresi, daha kolay yorumlama için daha net görüntüler üreterek, lekeleri azaltmak ve kenar iyileştirmeyi artırmak üzere daha da geliştirilmiştir.
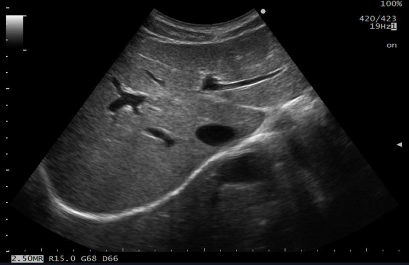
Bileşik Görüntüleme
Doku sınırlarının görselleştirilmesini geliştirir ve artefaktları azaltır. Ultrason ışınları, nesneyi farklı açılardan taramak için birden fazla yönde iletilir. Bu taramalar gerçek zamanlı olarak üst üste bindirilerek kontrast çözünürlüğünü iyileştirir ve lekeleri azaltır, böylece lezyonların daha net gözlemlenmesine olanak tanır.
eFLOW
eFLOW, kan akışı dinamiklerinin doğru ve ayrıntılı bir şekilde tasvir edilmesini sağlayan bir akış haritalama teknolojisidir.
Olağanüstü uzamsal çözünürlüğü, hem ince hem de büyük damarların doğru bir şekilde tanımlanmasını sağlar.
Prob serisi
Çeşitli klinik uygulamaları destekleyen kapsamlı bir prob yelpazesini destekler. Yeni geliştirilen probların yanı sıra yüksek performanslı sistemlerimizden ve diğer sistemlerimizden bir dizi prob ile uyumludur.
Geniş Hareket Aralığına Sahip Çalıştırma Konsolu
Çalıştırma konsolunun yönü muayene için optimum konuma ayarlanabilir.

Yönü/Açısı Ayarlanabilir Monitör
Monitörün yönü ve açısı, muayene için uygun konuma ayarlanabilir.

Kullanımı Kolay Dokunmatik Ekran Paneli
Dokunmatik ekran paneli rahat ve kullanışlı bir açıyla monte edilmiştir. Ekranın düzeni klinik uygulamalara göre özelleştirilebilir ve sezgisel kullanıma olanak tanır.

Ayarlanabilir Panel Yüksekliği/Dönüşü
Çalıştırma konsolunun yüksekliğini ve dönüşünü operatöre ve yapılacak muayeneye en uygun şekilde ayarlamak mümkündür.

21,5 inç Geniş Ekran Monitör
Geniş görüş alanına sahip yüksek kontrastlı LCD monitör, görüntüleri yüksek duyarlılık ve çözünürlüğe sahip olacak şekilde görüntüler ve böylece hastaya bağımlı görüntü değişkenliğini azaltır.

Batarya*1
Bataryayla çalışması, sistemin kapatılmadan yeni bir konuma taşınmasını sağlar, böylece çalışmaya hemen devam edilebilir.

- *1 Standart bileşenler ve isteğe bağlı ögeler ülkeye bağlı olarak farklılık gösterir.
Basitleştirilmiş Çalıştırma Konsolu
Minimalize edilmiş düzen, sadece gerekli kontrol ögelerini içerir. Doğru düğmeyi arama süresini kısalt daha keyifli bir çalışma deneyimi sunar.

Sanal TGC
Sezgisel ve sorunsuz bir şekilde çalıştırılabilir.

Kullanıcı dostu arayüz
İşlemi başlatmak için resimden bir muayene alanı seçin.

Koşul
Önceki Ayarı Kullanarak Tarama
Bir hastanın önceden edinilmiş görüntüsünü seçtiğinizde sistem aynı muayene ayarlarına ayarlanır; takip karşılaştırmaları için çok değerlidir.

Geçmiş
Auto Optimizer
Görüntüler tek bir tuşa basarak ayarlanabilir: Doppler dalga formunun B modu kazancı, taban çizgisi pozisyonu ve hız aralığı optimize edilmiştir.

[sol]Kazanç Ayarından Önce
[sağ]Kazanç Ayarından Sonra

Trapezoidal Tarama
Lineer problarla tarama yaparken daha geniş bir görüş alanı sunarak damarların, organların ve onları çevreleyen dokuların görselleştirilmesini geliştirir.

Auto IMT*1
Karotid arterin uzun eksen görünümüne bir ROI (İlgilenilen Bölge) yerleştirildikten sonra İntima-Medya Kalınlığının (IMT) maksimum ve ortalama değerlerini otomatik olarak ölçer. Belirtilen aralıktaki tüm noktalardan hesaplandığı için doğrulukta iyileşme beklenebilir.

Dinamik Ağır Çekim Ekranı (D.S.D)
D.S.D. gerçek zamanlı bir görüntüyü ve ağır çekim karşılığını bir ekranda yan yana görüntüler. Hızlı kapakçık hareketi ayrıntılı olarak gözlemlenebilir.
Serbest Açısal M Modu (FAM)*1
M modu herhangi bir imleç yönü kullanılarak görüntülenebilir.
Aynı kalp atışındaki duvar ve kapakçık hareketi, birden fazla açıdan karşılaştırılabilir.
Doppler Otomatik İzleme
Doppler dalga forumunu gerçek zamanlı olarak izler ve ölçülen değeri görüntüler. Donma ve tepe hızı ile damar direnci değeri (PI, RI) aynı anda gösterildiğinden ölçümleri daha hızlı yapmak mümkündür.





























